인간의 척추 뼈는 경추 7개, 흉추 12개, 요추 5개, 천추, 미추로 `S`자형 굴곡을 이루고 있습니다. 이런 굴곡 상태는 몸의 균형과 용수철 같은 탄력성으로 충격 완화 역할을 해줍니다. 몸의 지주 구실로 무거운 체중을 지탱하고, 움직일 때 축의 역할을 하는 우리의 척추 뼈가 나이가 들고, 자세가 바르지 않다면 척추 뼈들을 연결하는 디스크가 닳고 수분이 빠져 쪼그라들어 키가 줄거나, 등이 휘어지고, 통증이 생기게 됩니다.

척추는 수십 여 개의 뼈로 연결되어 있습니다. 이런 척추 뼈와 뼈 사이에서 몸의 충격을 흡수시켜 주고 완충역할을 하는 것이 추간판, 일명 디스크입니다. 디스크는 가운데에 80%의 수분성분의 젤리처럼 생긴 수핵과 이 수핵을 보호하기 위해 섬유테들이 주위를 둥글게 감싸고 있습니다. 이러한 디스크는 스프링처럼 충격을 완화 시키고 척추 뼈가 밀리지 않고, 척추 뼈들이 부딪히지 않도록 보호해줍니다. 나이가 들어감에 따라 수핵의 수분함량의 감소로 탄력성이 떨어지면서, 경우에 따라 나쁜 자세나 사고 등 외부적인 자극이 가해져 경추 디스크가 밀려나 주위 신경근을 자극하여 통증을 일으키는 것을 `목디스크`이라 합니다.
생활상 잘못된 습관이나 사고 등으로 목에 직접적인 충격이 가해졌을 때 나타나기 쉽습니다.
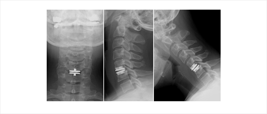
경추부의 전반적 구조를 볼 수 있습니다.
디스크의 상태 및 척수ㆍ신경 압박 정도, 인대, 근육 같은 연부 조직들을 볼 수 있습니다.
디스크의 경화 상태, 인대의 석회화, 경추 뼈의 구조를 볼 수 있습니다.
목 디스크의 수술 방법은 크게 4가지 수술법이 있습니다.
